
Our Own Patients And Their Stories…
Our Patient John came with upper broken denture. We replaced his broken denture with our custom made denture which fits great and helps in chewing and smiling. Patient got the smile back. Patient decided for a darker shade. Happy Patient.
NOTE: Local Lab in Gwinnett County, GA


JC complained of sensitive teeth in the upper left side of his mouth. We found two non Caries lesions. We fixed them with composite white fillings. Dental bonding is very affordable and quick procedure with optional local anesthesia.
NOTE: JC got the fillings done without any anesthesia.



Our patient came with severe pain in the lower right side. On examination with Dental X-Rays it needed Root Canal Treatment. Patient wanted to save the tooth and get out of pain right away. We comfortably did RCT and got the patient out of pain. We did a cosmetic filling to cover the hole. We always advise to get Crown on all Back teeth once RCT is done. Due to time patient scheduled for Dental Crown on next visit.
Patient was very satisfied that we are able to take care of the patient same day.



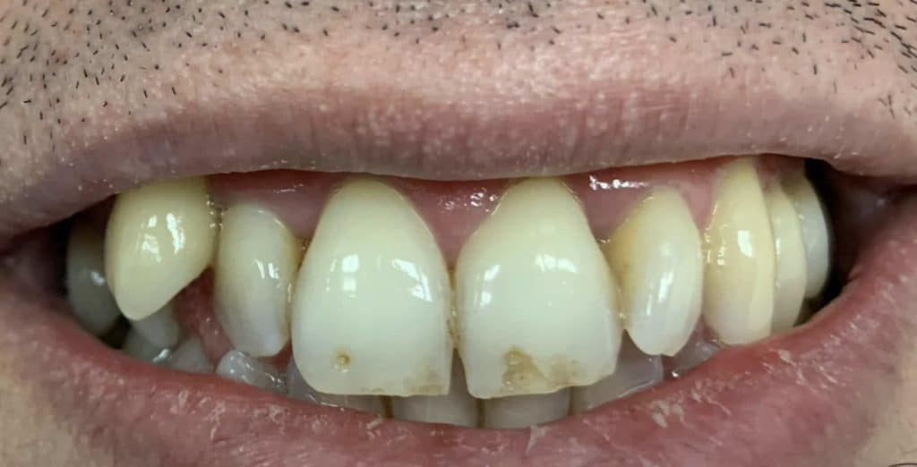
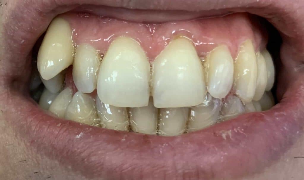
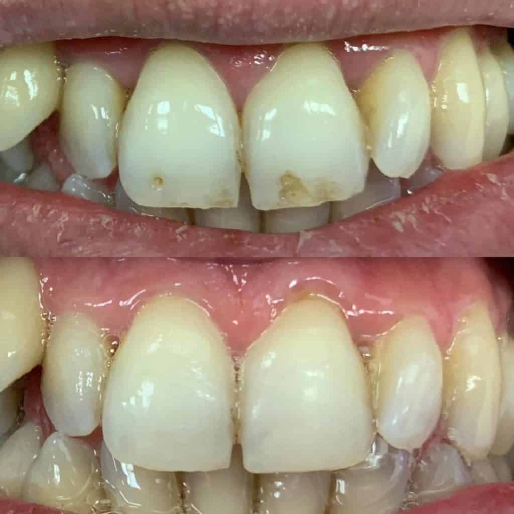
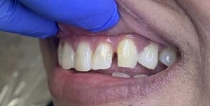
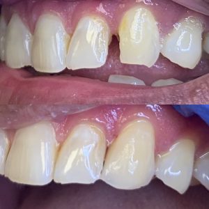
Patient came with complain of stained and broken upper front teeth. Removed the stains and did a cosmetic White Filling. No Anesthesia used as it was superficial. Patient was so happy seeing the change in a fraction of time and without being getting numbed.



Our patient Julie was just about ready to leave for vacation when she broke her tooth. She called our office and we were able to get her in the same day. We repaired the tooth using filling material and minimal anesthetic in just about 30 mins.
Her cost was less than $200 and she was able to leave on time with her beautiful smile.
Note: A beautiful smile doesn’t have to take time or cost a fortune.



Young patient who lost his teeth due to decay and came to our office to get his smile back and chew good food again. There are times when a patient needs almost all of their teeth replaced – whether it’s from trauma, gum disease or cavities. Regardless of the cause, we can restore your smile and your ability to eat and chew your food.

Our patient came with complain of spacing between her upper front teeth. She wanted to know the options. We discussed about Braces and Bonding or Filling. Patient decided to get Filling done due to time and cost. Many people have naturally occurring spaces in between their two front teeth. And while some people like their spaces, other people like their spaces to be closed. Here is an example of a cosmetic closure of the space between this patient’s two front teeth.
